

What is Dentofacial Orthopedics?
Dentofacial Orthopedics is the preventive, interceptive branch of orthodontics that focuses on correcting jaw growth, facial development, and oral habits in children. Unlike traditional braces that only move teeth, this treatment works on the jawbones while they’re still growing, creating a balanced facial structure and proper bite alignment. This treatment is most effective between the ages of 6 to 12 years, before all permanent teeth come in and while bones are still adaptable.
Benefits of Early Orthodontic Evaluation
✔Proper Jaw Growth
✔Avoids Crowding & Extractions
✔Corrects Mouth Breathing
✔Reduces Future Braces Time
✔Stops Bad Habits – Like thumb sucking, tongue thrusting, or lip biting
✔Improves Speech, Sleep, and Profile
Treating jaw issues in childhood is easier, faster, and more natural than later in life.
Common Conditions Treated
We evaluate and treat:
✔Overbite / Deep bite
✔Underbite
✔Crossbite
✔Narrow jaw / Dental crowding
✔Mouth breathing
✔Thumb sucking, lip biting, or tongue thrusting
✔Delayed or misaligned eruption of teeth
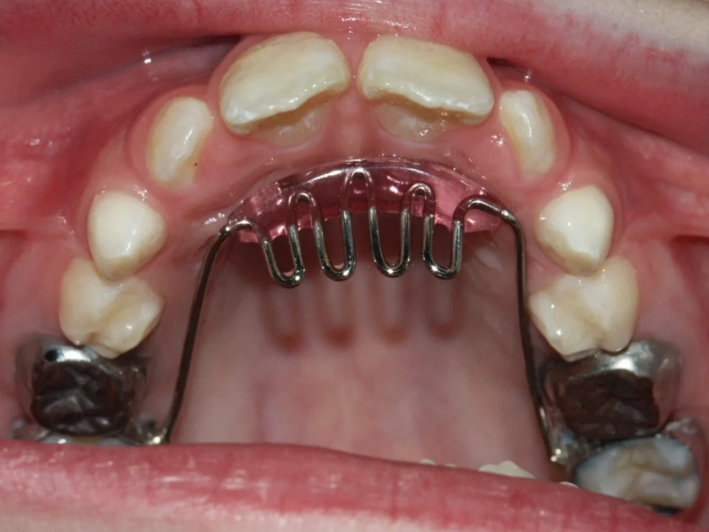
Appliances Used in Early Orthodontics
Functional Appliances – Jaw Growth Devices
These include appliances like Twin Block or Biomatter. They help correct jaw positions by encouraging the lower or upper jaw to grow properly. Best used while the child’s bones are still developing.
Perfect for:
✔Overbite or Underbite
✔Uneven jaw growth
✔Skeletal imbalances
Habit Breakers – Stop Harmful Oral Habits
These are custom-made appliances used to stop thumb sucking, lip biting, or tongue thrusting. They can be fixed or removable, depending on the child’s needs.
Perfect for:
✔Children aged 4–10
✔Persistent habits affecting jaw development
Why Delay Can Be Risky
✔Without early intervention:
✔Jaw surgery may be required later
✔Braces may take longer or be more painful
✔Airway and sleep issues may continue
✔Facial balance and aesthetics may suffer
✔Habits become harder to break
Note on Future Braces
✔ Dentofacial orthopedics is often Phase 1 of treatment.
✔ Braces or clear aligners may still be required after jaw correction is complete.
Click here to learn more about Braces & Aligners
✔ Schedule Your Child’s Early Orthodontic Evaluation
✔ Don’t wait for permanent teeth to erupt or for jaw problems to show visibly.
✔ The ideal age for a first orthodontic visit is around 7 years.
At Smiletec Dental Clinic, we provide comprehensive evaluation and customized growth guidance by our experienced orthodontist.
